Tratamientos Realizados
A continuación una muestra fotográfica de pacientes atendidos en la Clínica. Estas imágenes son complementarias a la información presentada, con el fin de ilustrar las exitosas posibilidades
terapéuticas ofrecidas.

Antes tratamiento
Tratamiento
Ortodoncia Correctiva
Paciente con severo déficit de espacio en arco dental superior e inferior; ocasionando apiñamiento extremo, doble fila dental y consecuente maloclusión.

Antes tratamiento
Vista intraoral

Tratamiento terminado
Tratamiento
Ortodoncia Correctiva
Tratamiento de Ortodoncia Correctiva terminado, logrando excelente estética y equilibrio funcional de los arcos dentales. Tiempo tratamiento activo 30 meses.

Tratamiento terminado
Vista intraoral

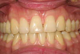
Antes tratamiento
Tratamiento
Ortodoncia Correctiva
Paciente con pérdida de incisivo lateral superior izquierdo generando espacio interdental aumentado en línea media; con déficit de espacio en sector de incisivos inferiores ocasionando severo apiñamiento dental y consecuente maloclusión.

Antes tratamiento
Vista intraoral

Tratamiento terminado
Tratamiento
Ortodoncia Correctiva
Tratamiento de Ortodoncia Correctiva terminado con el logro de equilibrio estético y funcional de los arcos dentales Superior e Inferior, mejorando así estética y función masticatoria

Tratamiento terminado
Vista intraoral

Antes tratamiento
Tratamiento
Ortodoncia
Tratamiento de Ortodoncia Correctiva, paciente con severo déficit de espacio en los incisivos superiores e inferiores, ocasionando malposición dentaria y alteración estética.

Antes tratamiento
Vista intraoral

Tratamiento terminado
Tratamiento
Ortodoncia
Tratamiento de Ortodoncia Correctiva terminado, logrando el posicionamiento armonioso de Incisivos y molares con un exitoso resultado funcional y estético.

Tratamiento terminado
Vista intraoral

Antes tratamiento
Tratamiento
Ortodoncia correctiva
Tratamiento de Ortodoncia correctivo a paciente con severo déficit de espacio maxilar, pérdidas dentales y desarmonía oclusal.
Tratamiento terminado


Antes tratamiento
Tratamiento
Ortodoncia correctiva
Tratamiento de Ortodoncia correctiva realizado a paciente con severo déficit de espacio en maxilar, con pérdidas dentales y desarmonía oclusal.

Tratamiento terminado

Antes tratamiento
Tratamiento
Ortodoncia correctiva
Tratamiento de Ortodoncia correctiva realizado a paciente con severo déficit de espacio en maxilar, con pérdidas dentales y desarmonía oclusal.

Tratamiento terminado

Antes tratamiento
Tratamiento
Ortodoncia correctiva
Tratamiento realizado a paciente con severo déficit espacio de incisivos superiores e inferiores. Tiempo de tratamiento activo, dos años.

Tratamiento terminado

Antes tratamiento
Tratamiento
Ortodoncia correctiva
Tratamiento realizado a paciente con severo déficit espacio en incisivos inferiores. Tiempo de tratamiento activo, dos años.

Tratamiento terminado

Antes tratamiento
Tratamiento
Ortodoncia correctiva
Tratamiento a paciente con severo déficit espacio de incisivos superiores e inferiores, con tres caninos fuera del arco. Tiempo de tratamiento activo, dos años.

Tratamiento terminado

Antes tratamiento
Tratamiento
Ortodoncia correctiva
Tratamiento a paciente con severo déficit espacio de incisivos inferiores. Mordida cruzada en incisivos y molares lado izquierdo. Tiempo de tratamiento activo, tres años.

Tratamiento terminado

Antes tratamiento
Tratamiento
Restauración Oral
Tratamiento de Restauración Oral mediante Prótesis Fija en Porcelana realizado a paciente con pérdida de incisivo central superior derecho.

Tratamiento terminado

Antes tratamiento
Tratamiento
Restauración Oral
Tratamiento de Restauración Oral mediante Corona en Porcelana realizado a paciente con fractura coronal de incisivo lateral superior derecho.

Tratamiento terminado

Antes tratamiento
Tratamiento
Restauración Oral
Tratamiento de Restauración Oral mediante Prótesis Fija en Porcelana realizado a paciente con pérdidas dentales múltiples y significativo desgaste dental por Bruxismo.

Tratamiento terminado

Antes tratamiento

Tratamiento
Restauración Oral
Tratamiento de Restauración Oral mediante Prótesis Fija en Porcelana y prótesis removible realizado a paciente con extensas pérdidas dentales. Obteniendo mejor estética y óptima función masticatoria.

Tratamiento terminado

